REVISTA ESPAÑOLA DE

Vol. 42, n.º 4, 200
9

ARTÍCULO
EN PDF

   

CASUÍSTICA

Calcificaciones en trasplante hepático. Relato de un caso en pediatría

Ricardo Drut

Servicio de Patología. Hospital de Niños «Superiora Sor María Ludovica».
Cátedra de Patología. Facultad de Ciencias Médicas. Universidad Nacional de La Plata. 1900 La Plata. Argentina.
patologi@netverk.com.ar

  

RESUMEN

Se presenta el caso de un niño de 20 meses con segundo trasplante hepático que desarrolló numerosos focos de fibrosis con calcificaciones en el órgano trasplantado. Los estudios de imágenes y la biopsia fueron congruentes en demostrar el fenómeno de la calcificación distrófica. El paciente falleció a los 45 días del estudio de biopsia. El proceso se atribuye al efecto de isquemia-reperfusión del órgano y hasta el presente se había reconocido solo en adultos. Su demostración parece implicar un pronóstico uniformemente fatal.

Palabras clave: Calcificación distrófica, trasplante hepático.

  

Graft calcifications after liver transplant. A case report in a child

SUMMARY

This paper describes a 20 month-old infant who, after two liver transplants, developed numerous fibrocalcific foci in the transplanted organ. Imaging studies and biopsy findings were concordant in demonstrating the dystrophic calcifications. The patient died 45 days after the liver biopsy. This phenomenon is attributed to the effect of ischemia-reperfusion of the organ and until now has been seen only in adults. Its development unvaryingly seems to herald a fatal prognosis.

Keywords: Dystrophic calcification, liver transplant.


INTRODUCCIÓN

El desarrollo de calcificaciones en el hígado trasplantado ha sido recientemente reconocido como un signo aciago en cuanto a la viabilidad del órgano. Su génesis parece corresponder al efecto de la isquemia-reperfusión del injerto, con el desarrollo de zonas de necrosis con gran calciofilia, la clásica calcificación distrófica (1-3).

En esta comunicación se relata un ejemplo de esta situación en un niño, situación no descripta previamente en la literatura.

  

RELATO DEL CASO

Niño de 1 año y 8 meses, con segundo trasplante hepático por atresia de vías biliares en la primera oportunidad y por disfunción del injerto en la segunda. El segundo trasplante se realizó dos meses después del primero, teniendo en la actualidad 4 meses y medio de evolución. El paciente recibió numerosas medicaciones entre las que se incluyen tacrolimus, trimetroprimasulfa, deltisona, actinomicina, gangiclovir y pipetazobactrim. Un examen ecográfico y luego una TAC mostraron numerosos focos fuertemente sugestivos de calcificaciones dentro del parénquima hepático (figs. 1 y 2).


Fig. 1: Imagen de examen ecográfico mostrando numerosas sombras ecogénicas en el hígado.


Fig. 2: Aspecto de las sombras densas intrahepáticas en la TAC.

Por evidencias clínicas y humorales de disfunción del injerto se realizó una biopsia por punción. El paciente falleció en insuficiencia hepática 45 días después.

  

HALLAZGOS HISTOLÓGICOS

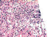
En el examen microscópico se reconocieron múltiples focos de fibroesclerosis con calcificaciones distróficas agregadas (fig. 3). El sector hepatocelular presentó moderada esteatosis hepatocelular, colestasis intracelular, notable anisocariosis, frecuentes hepatocitos binucleados, necrosis aislada multifocal e infiltrados inflamatorios crónicos dispersos en los sinusoides (fig. 4). El sector portal apareció expandido, focalmente con puentes porto-portales, con edema e infiltrados inflamatorios crónicos polimorfos con extensión multifocal al lobulillo comprometiendo la lámina limitante. Los pequeños conductos biliares aparecieron involucrados en grado variable por los infiltrados inflamatorios crónicos (fig. 5). Las venas mostraron inflamación endotelial de grado variable, en general leve.


Fig. 3: Zona de la biopsia con área de fibroesclerosis cicatrizal con calcificaciones (H-E x100).


Fig. 4: Zona del lobulillo con marcada esteatosis y anisocariosis de los hepatocitos (H-E x140).


Fig. 5: Área portal con fibrosis e infiltrados inflamatorios crónicos con compromiso de la lámina limitante y de algún conductillo biliar local (H-E x140).

El índice de actividad de rechazo (4) fue: inflamación portal, 3/3; daño inflamatorio de conductos biliares, 2/3; inflamación endotelial venosa, 1-2/3. Total: 6-7/9. Además se hallaron focos con malformación quística de conductos biliares con material biliar en el interior (fig. 6).


Fig. 6: Foco de la biopsia con la malformación quística de conductos biliares (H-E x100).

La muestra se interpretó como una hepatopatía por rechazo crónico con esteatosis, en un hígado con una malformación de vías biliares intrahepáticas, y focos de fibroesclerosis con calcificaciones vinculables a secuela de injuria de perfusión.

  

DISCUSIÓN

Los hallazgos de esta biopsia hepática fueron notablemente remunerativos para entender el cuadro clínico del paciente. Al mismo tiempo permitieron la confirmación de las sospechas de los estudios por imágenes.

La patogenia de las calcificaciones en el hígado trasplantado está sin duda relacionada con el así denominado «stress» isquémico, básicamente un trastorno de isquemia-reperfusión que condiciona lesión celular subletal y letal llevando a la clásica y bien conocida calcificación distrófica. La acumulación de calcio a nivel intracelular, sea por disminución del metabolismo energético (lesión mitocondrial) y/o alteraciones de la membrana citoplasmática con aumento de la permeabilidad a la entrada de calcio, sería responsable de modificaciones del citoesqueleto con alteración de la forma de las células y activación de fosfolipasas. La consecuencia es la perpetuación del daño de las membranas y, finalmente, depósitos de calcio en las mitocondrias. Estos depósitos de hidroxiapatita en las células necróticas generan una respuesta estromal con activación de miofibroblastos que expresan proteínas específicas de la matriz ósea (3).

Más allá de la patogenia molecular del proceso (2,3), parece claro que efectivamente la demostración de secuelas de fibroesclerosis cicatrizal con calcificaciones en el tejido del hígado trasplantado es un dato de pronóstico ominoso (1) aún en Pediatría. Obviamente su desarrollo debe ser impedido con un adecuado manejo del órgano antes del trasplante.

La malformación de las vías biliares intrahepáticas fue un descubrimiento inesperado en este caso y seguramente contribuirá a generar actitudes de mejor control del órgano a trasplantar.

  

BIBLIOGRAFÍA

  1. Tzimas GN, Afshar M, Chevet E, Emadali A, Vali H, Metrakos PP. Graft calcifications and dysfunction following liver transplantation. BMC Surg 2004; 3: 4-9.

  2. Tzimas GN, Afshar M, Emadali A, Chevet E, Vali H, Metrakos PP. Correlation of cell necrosis and tissue calcification with ischemia/reperfusion injury after liver transplantation. Transplant Proc. 2004; 36: 1766-8.

  3. Kalantari1 F, Miao D, Emadali A, Tzimas GN, Goltzman D, Vali1 H, Chevet E, Auguste P. Cellular and molecular mechanisms of abnormal calcification following ischemia-reperfusion injury in human liver transplantation. Mod Pathol 2007; 20: 357-66.

  4. Transplant Pathology Internet Services. Liver. Histologic Features of Early and Late Chronic Liver Allograft Rejection. Disponible en http://tpis.upmc.com/TPIShome/changeBody.jsp?url=/tpis/schema/CRLiver.jsp?