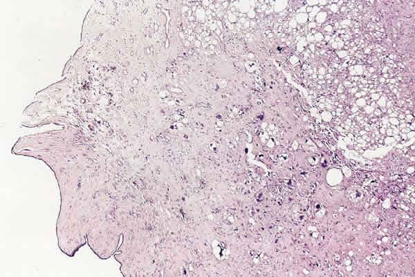
Fig. 7: Tumor filodes maligno de mama. Distintos patrones mesenquimales. HE. 10x.