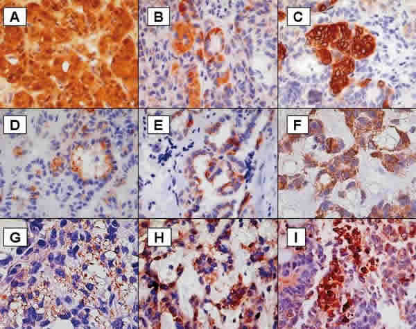
Fig. 4: Expresión inmunofenotípica múltiple de las células neoplásicas. A. proteína S100, B Melan-A, C. GFAP, D. EMA, E. Citoqueratina AE1/3, F. HMB-45, G. Neurofilamento, H. Desmina, I. Sinaptofisina.