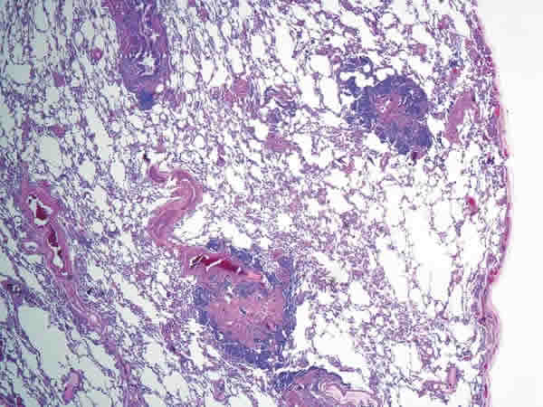
Fig. 5: Focos de tumorlets carcinoides periféricos en relación con bronquiolos (HE X40).