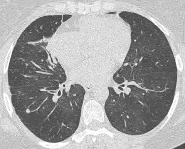
Fig. 3: Corte basal con TCAR que muestra alguno de los nódulos pulmonares, atelectasia parcial de lóbulo medio y signos de perfusión en mosaico.