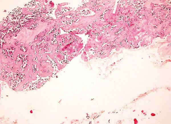
Fig. 14: Carcinoma medular. Imagen panorámica mostrando la esclerosis del estroma con abundante material eosinofílico y grupos cordonales de células con abundante artefacto (Hematoxilina-Eosina, x40).