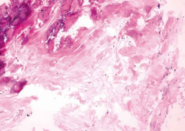
Fig. 6: Zona esclerótica calcificada en el centro de un gran nódulo hiperplásico (Hematoxilina-Eosina, x250).