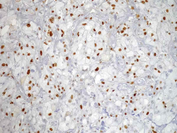
Fig. 5: Alto índice proliferativo (Ki-67x20).