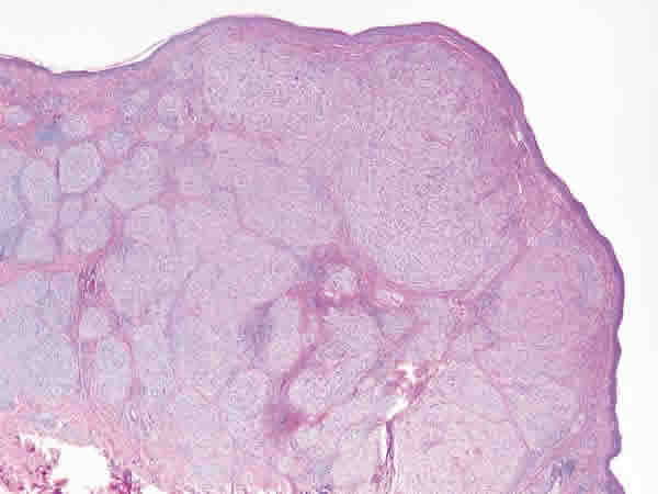
Fig. 1: Tumoración dérmica con patrón de crecimiento plexiforme.