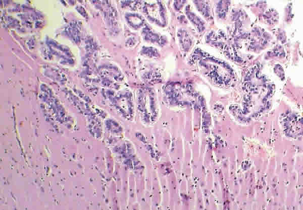
Fig. 2: H/E 10x Parénquima cerebral infiltrado por tumor papilar.