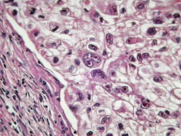
Fig. 10: Detalle citológico de un carcinoma de células claras esporádico de alto grado nuclear mostrando pleomorfismo nuclear marcado y nucleolos evidentes (Hematoxilina-Eosina, x400).