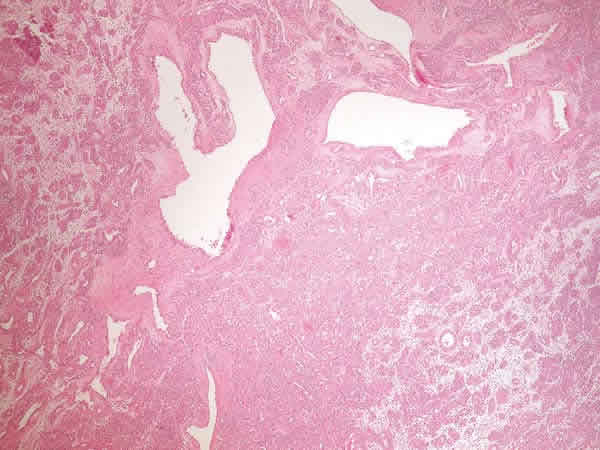
Fig. 5: Panorámica del caso 2. Observe la presencia de vaso central de mayor tamaño del cual parece emanar la proliferación vascular. HE 5X.