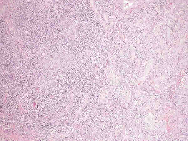
Fig. 4: Abundantes folículos linfoides en estrecha relación con la proliferación vascular. HE 20X.