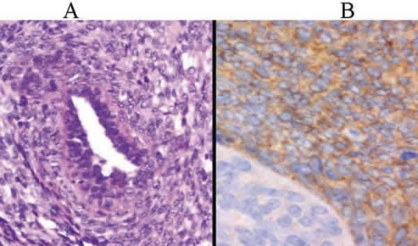
Fig. 2: Sarcoma sinovial (biopsia). A) Corte histológico que muestra patrón bifásico con focos de diferenciación epitelial (HEX200). B) Positividad de las células de hábito estromal para CD99.