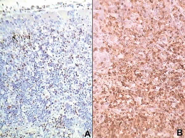
Fig. 4: Proliferación linfoide polimorfa en ganglio linfático con marcadores inmunohistoquímicos positivos para proliferación de células T; A: CD 3 (x200); B: UCHL-1 (CD 45Ro) (x400).