
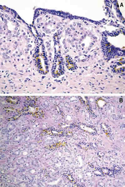
Fig. 5: Detalle histológico de la invasión de los conductos eyaculadores por el adenocarcinoma de próstata. A) Invasión focal subepitelial (hematoxilina-eosina, x400). B) Invasión masiva ahogando los restos de los conductos (hematoxilina-eosina, x250).