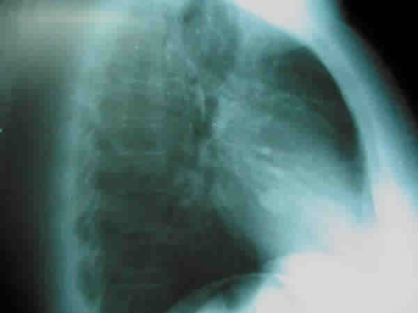
Fig. 2: Proyección lateral de tórax.