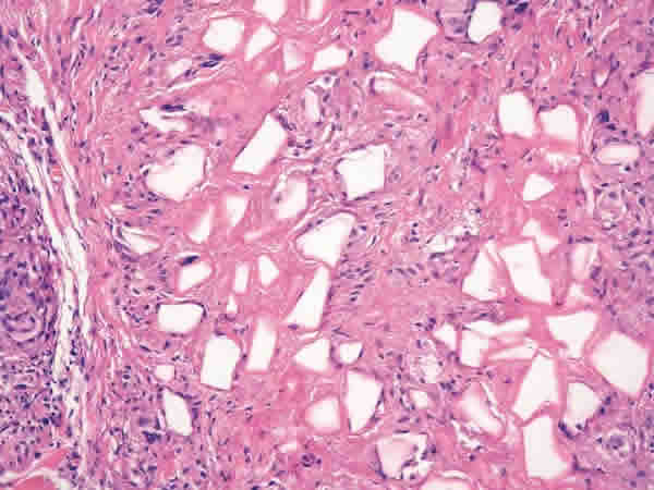
Fig. 11: Reacción granulomatosa tipo cuerpo extraño rodeando partículas poligonales en una paciente a la que se inyectó Dermalive.