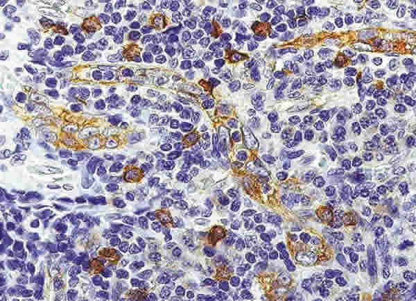
Fig. .8: Células dentríticas plasmocitoides (CDPs). Mayor detalle de la zona parafolicular de un ganglio linfático normal. Se observan varias CDPs alrededor y en la pared de varias VEA. Las CDPs expresan antígenos de superficie que les permiten migrar a través de las VEA para alcanzar la zona T de los tejidos linfáticos y llevar a cabo su función inmunoestimuladora y de CPA (ver texto). Inmunohistoquímica para CD123.