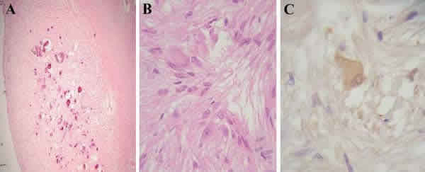
Fig. 2: A) Hamartomas subependimarios en el que se observa una proliferación glial con calcificaciones. B) A mayor aumento se observa el característico fondo fibrilar y los astrositos gigantes. C) Proteína ácida fibrilar glial positiva.