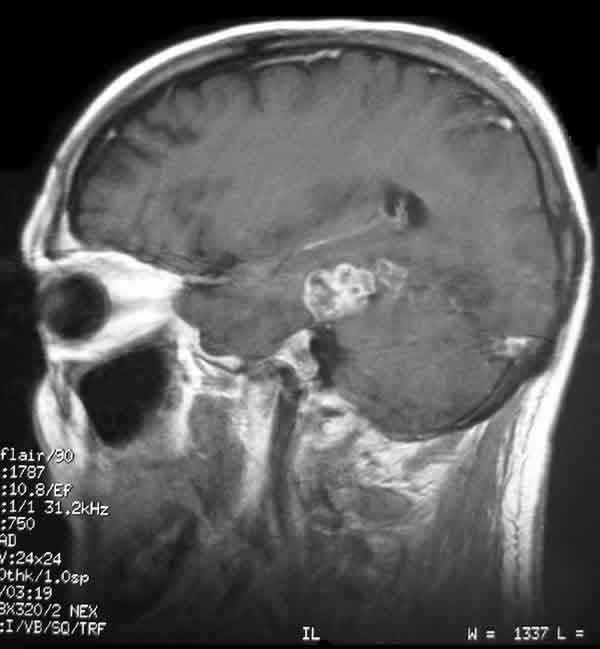
Fig. 1: Imagen de la RMN craneal que muestra una lesión ocupante de espacio en el lóbulo temporal izquierdo posterior.