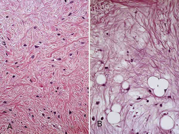
Fig. 6: Liposarcoma bien diferenciado tipo esclerosante. A. Detalle de área esclerosante donde destaca el colágeno de tipo cordonal. HE 20x. B Lipoblastos atípicos en el seno de un área esclerosante con colágeno de tipo fibrilar. HE 40x.