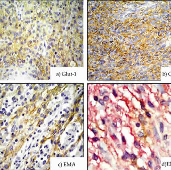
Fig. 4: Perineuroma maligno. Inmunohistoquímica. A) áreas compactas, inmunomarcación para Glut-1. B) Patrón verticilado. Inmunoreactividad para Claudina -1. C) Áreas laxas/mixoides. Inmunomarcación para EMA, mostrando las células perineurlaes malignas delgadas elongadas. D) Doble inmunomarcaje EMA/CD34 (EMA Diaminobencidina/CD34 nueva fuscina) mostrando inmunorreactividad de ambos marcajes en las células fusiformes.