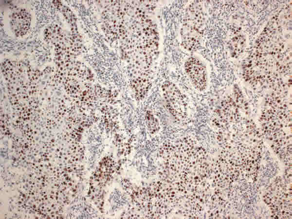
Fig. 5: Positividad de Ki-67 en carcinoma escamoso en bloque (HE x10).