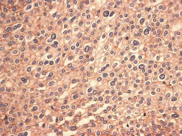
Fig. 3: EGFR intensidad moderada (2+) (HE x10).