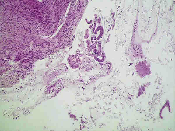
Fig 3: Material insuficiente compuesto por fragmento muscular, moco y tiras de epitelio cervical.