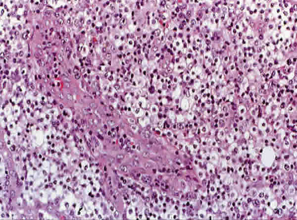
Fig. 1: Linfoma T angioinmunblástico. Vénulas de endotelio alto rodeada de células claras.