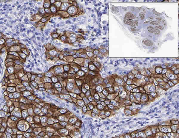
Fig. 3: El mapa de la preparación (esquina superior izquierda) permite saber dónde está localizada la zona que estamos examinando a mayor aumento.