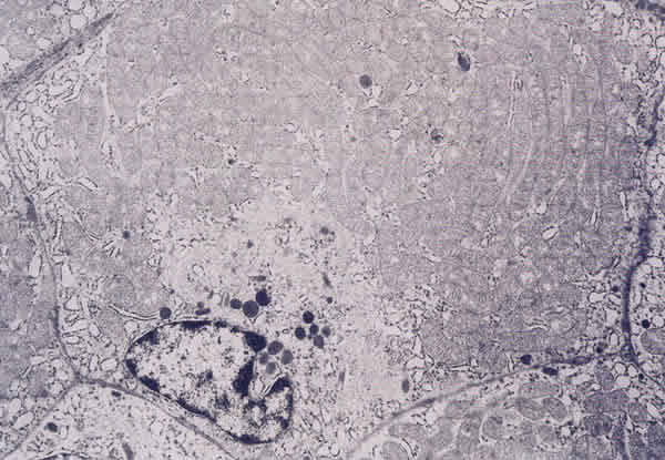
Fig. 4: Células neoplásicas con grandes citoplasmas ocupados por abundantes mitocondrias y retículo endoplásmico rugoso perinuclear, y núcleos con cromatina en densos agregados periféricos y centrales (original, ME x12500).