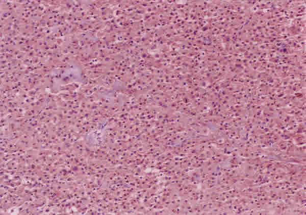
Fig. 3: Positividad débil y focal para cadena ligera lambda en las células neoplásicas (original, cadena ligera lambda x50).