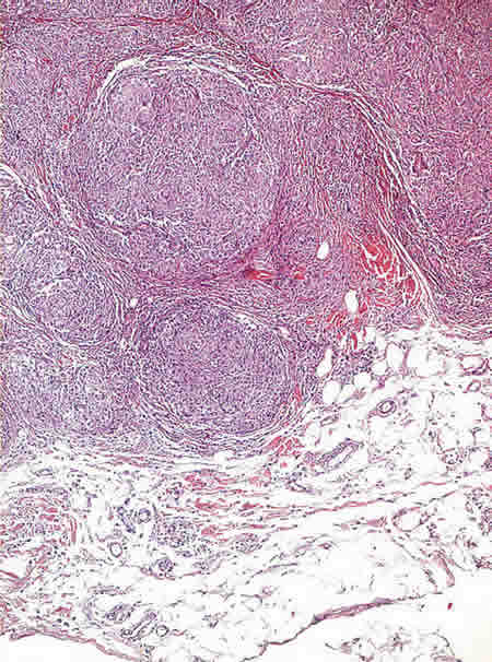
Fig. 2: Granulomas no necrotizantes en dermis profunda e hipodermis. (H-E x200).