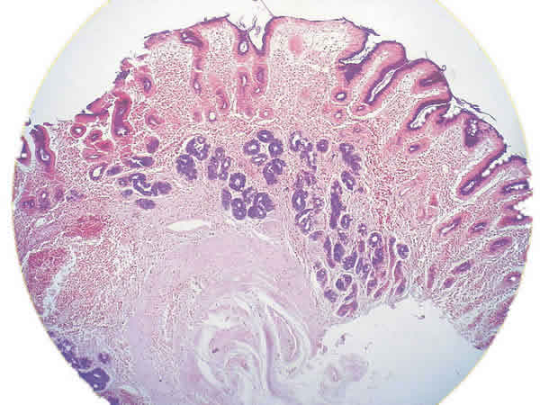
Fig. 2. Mucosa gástrica con depósito de sulfomucinas (PAS-AA pH 1,0 40x).