
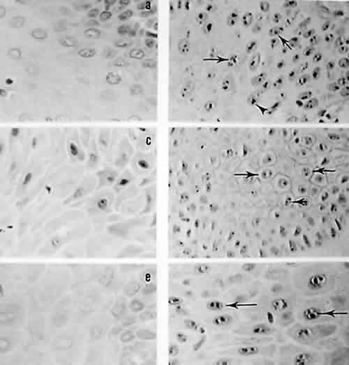
Fig. 1. Fotomicrografía correspondiente a: a) Verruga vulgar, c) Queratosis friccional, e) Displasia epitelial con tinción de H y E, en los incisos b), d) y f) teñidos con plata coloidal se aprecian los puntos nucleolares en las respectivas lesiones a 100x.