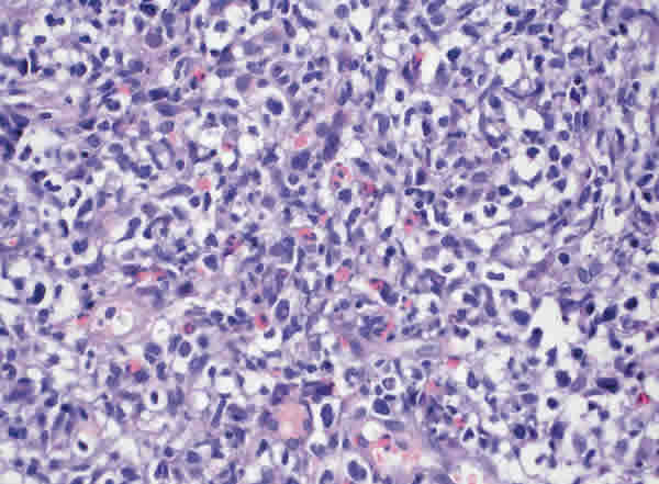
Fig. 5: Eosinófilos, plasmocitos y una fibrosis marcada de la lámina propia son frecuentes en los LDCGB con componente de bajo grado.