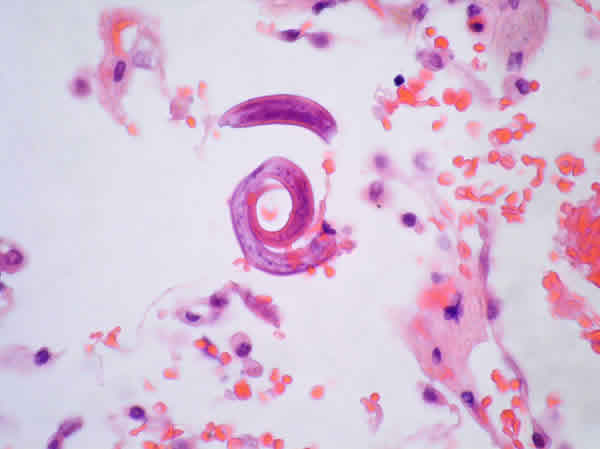
Fig. 3: Pulmón. Larva en un alveolo, con la cola enroscada. En el corte no ha salido la región central. La cápsula bucal está arriba a la izquierda (original, HE x600).