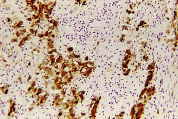
Fig. 6: Cultivo orgánico a los 20 días. Los explantos muestran una alternancia de áreas gliales, con expresión de GFAP y áreas negativas, correspondientes a las zonas sarcomatosas. GFAP x100.