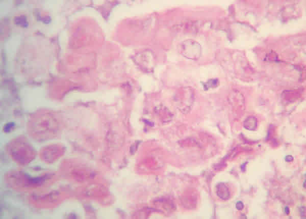
Fig. 8. Núcleos de células epiteliales con inclusiones eosinófilas (Cowdry A) y otras con núcleos envidrio esmerilado, sugestivo de infección por herpes simple. HE x400.