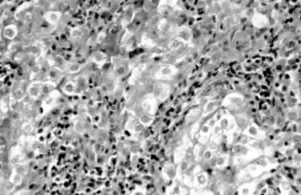
Fig. 9. Histopatología glassy cell carcinoma.