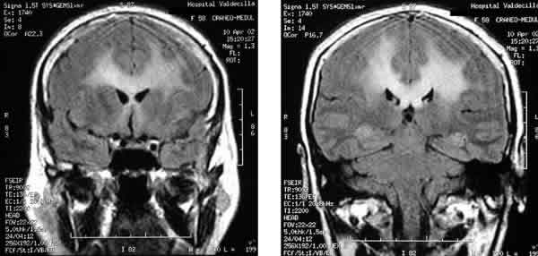
Figs. 5 y 6.