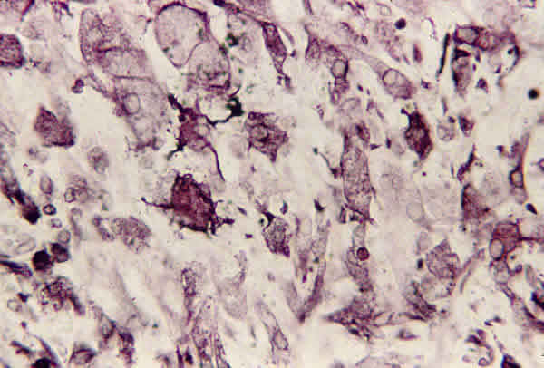
Fig. 8b. De nuevo las impregnaciones argénticas reproducen la imagen del método inmunohistoquímico, con elementos multipolares de pequeño tamaño (Rio-Hortega 200x).