
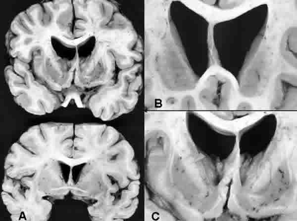
Fig. 1. Alteraciones macroscópicas en la enfermedad de Huntington. A) Cortes sagitales correspondientes a un cerebro con EH (imagen superior) y a un control normal (corte inferior). En la EH se aprecia atrofia de la cabeza del núcleo caudado, que muestra un perfil medial recto en vez del convexo normal, provocando dilatación ventricular. También hay atrofia del putamen. B y C) Detalles de la anterior en cortes realizados a nivel de la cabeza del caudado (A) y del lenticular (B):