
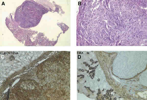
Fig. 2. Ectopía Adrenal: A) Biopsia urgente de lesión nodular amarillenta que muestra una lesión bien delimitada del parénquima renal; B) Otro ejemplo de ectopía adrenal con células de aspecto ligeramente xantomatoso en continuidad a las células tubulares renales; C) Positividad para Vimentina en el tejido adrenal; D) EMA positivo en algunas células tubulares renales y negativo en las células adrenales.