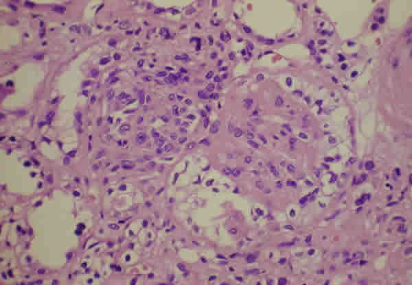
Fig. 7. Estructura "glomeruloide", secundaria a la proliferación endotelial intraluminal, en las arteriolas del hilio glomerular (HE).