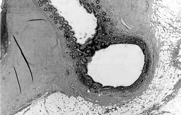
Fig. 2. 50xHE. Invaginación de la mucosa del apéndice a través de la pared, desprovista de capa muscular.