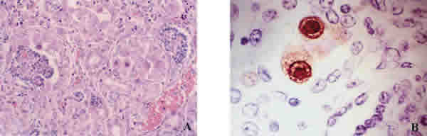
Fig. 2. Citomegalovirus: (a) Típicas inclusiones intranucleares por citomegalovirus en el epitelio tubular y en el epitelio parietal de la cápsula de Bowman (H&E x 450). (b) Positividad para el antígeno viral (PO x 650).