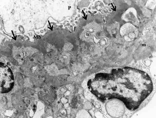
Fig. 6. Glomerulonefritis focal segmentaria con hialinosis. Depósitos electrón densos subendoteliales en un foco de hialinosis.